湖南省人民医院潘宏伟、何晋教授领衔的心血管内科介入团队,继成功独立实施国产DragonFly™经导管二尖瓣夹系统经导管二尖瓣缘对缘修复术(TEER)手术后,近日,再度取得显著成就,接连完成两例极具挑战且情况复杂的二尖瓣脱垂患者TEER手术。

首例患者是急性二尖瓣腱索断裂合并反流,IABP置入,术前经超声心动图评估显示其左房极小,器械于左房内操作空间受限,对手术精度要求极高,脱垂高连枷Gap大,术中需谨防断裂腱索缠绕等潜在风险。第二例患者则呈现出复杂的Barlow's病变特征,其后叶脱垂连枷样改变,瓣体整体甩向左房面,连枷高度近2.0cm,治疗难度极大。面对如此复杂病情,团队凭借精湛技艺,在术中充分利用DragonFly™的刻度化旋钮、独特的稳定器支架及三段式可调节管身的设计,面对极小左房仍然十分顺利安全的将二尖瓣夹打弯至瓣上,利用独立捕获功能成功实现了对病变区域的精准夹持。两例患者术后二尖瓣反流皆降至Trace,左房压明显降低,肺静脉逆流几乎消失,患者获益显著,凸显了团队在二尖瓣疾病治疗领域的深厚底蕴与高超技艺。

何晋教授
湖南省人民医院
何晋教授强调:“二尖瓣介入治疗对术者的技术要求极高,特别是在面对复杂病例时,如何精准规避术中风险、优化二尖瓣夹的精准放置策略以及充分利用产品性能以提升患者的治疗预后,是我们必须深入考量并精准执行的关键点。此次,我们依托DragonFly™的独特优势,其刻度化旋钮和独特的稳定器支架保证了术中的安全稳定,三段式可调节管身的设计增加了操作的灵活性,高效地解决了此类极小左房患者操作空间受限的问题,不仅显著降低了手术风险,还成功实现了对复杂病例患者的最优治疗效果。展望未来,我们满怀信心,将继续为更多危重二尖瓣疾病患者点亮治疗希望,带来实实在在的临床获益。”
Case 1
患者信息
患者为73岁老年男性,经食道超声检查提示:急性二尖瓣腱索断裂合并反流,前叶长度:2.8cm,后叶长度:1.7cm,脱垂宽度:18mm,脱垂高度:8mm,瓣口面积:6.5cm²。
手术难点
1. 极小左房,器械操作受限严重。
2. P2偏3脱垂腱索断裂连枷样改变,脱垂高度高,瓣叶捕获难度大。
3. 脱垂宽度宽,可能需采用多夹策略。
对应策略
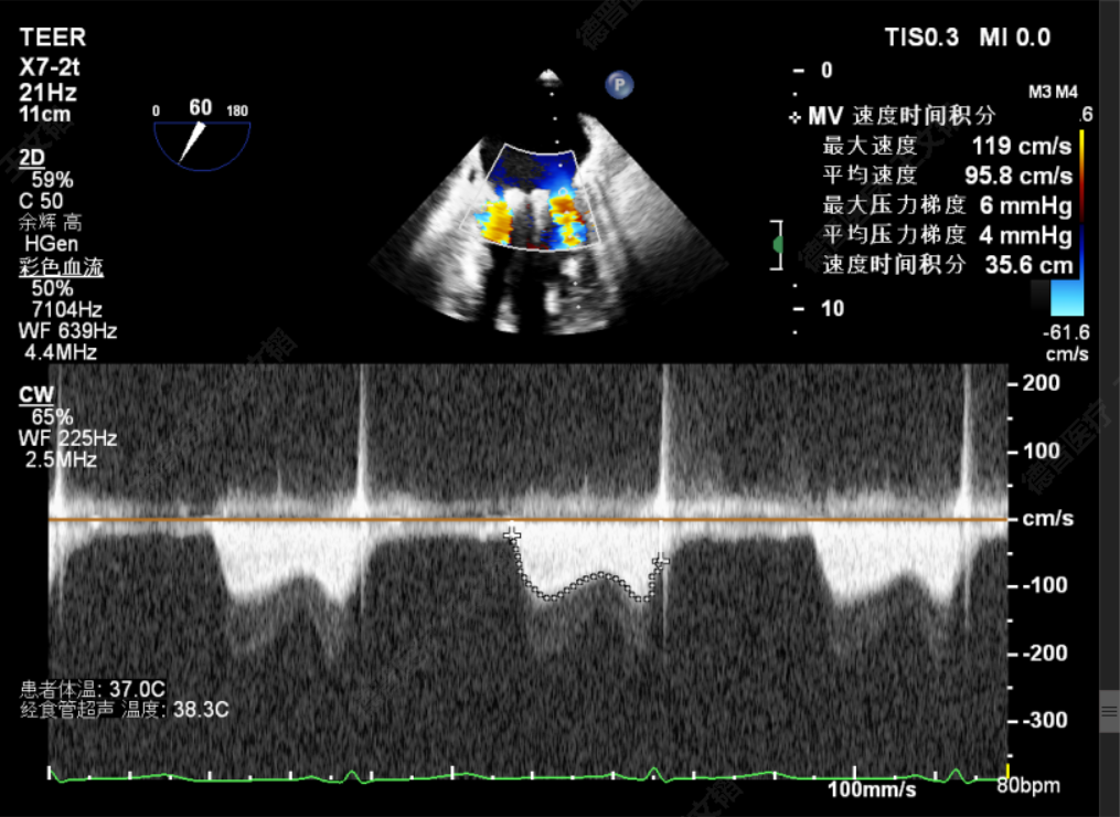
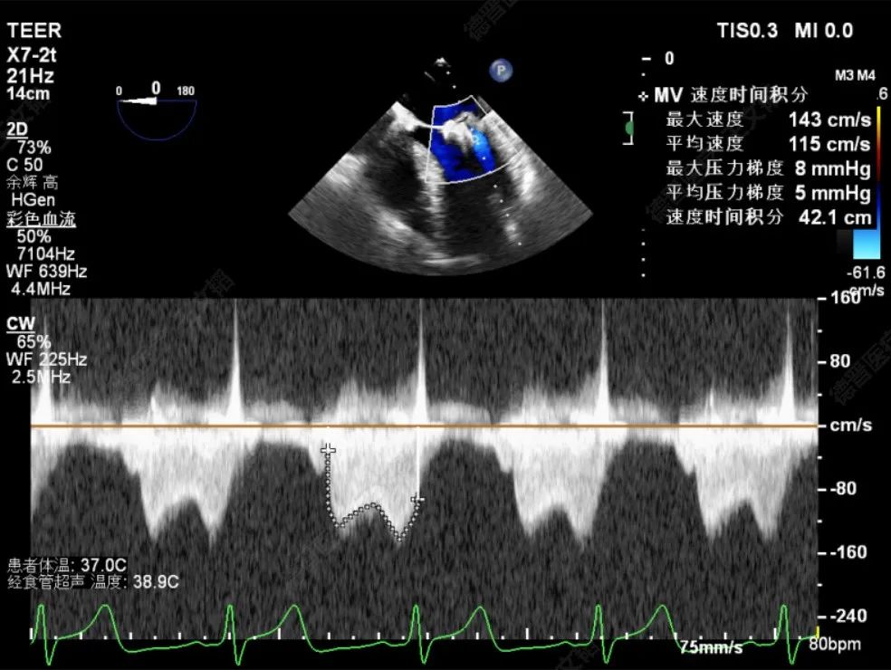
由于该患者情况特殊,潘宏伟教授、何晋教授团队通过讨论决定,先于脱垂正上方置入一枚长宽(XW0612)夹,再根据残余脱垂的情况决定是否置入第二枚夹子。术中团队利用DragonFly™刻度化旋钮及三段式可调节管身的设计,灵活调整二尖瓣夹系统,配合超声老师傅庆华教授的专业引导,成功将二尖瓣安全的打弯至二尖瓣瓣上。最后于2偏1区及2偏3区分别置入了两枚长宽(XW0612)夹。夹闭后反流由术前重度降低为Trace,跨瓣压差4mmHg,左房压由术前61mmHg降至术后27mmHg,肺静脉逆流几乎消失,效果立竿见影。
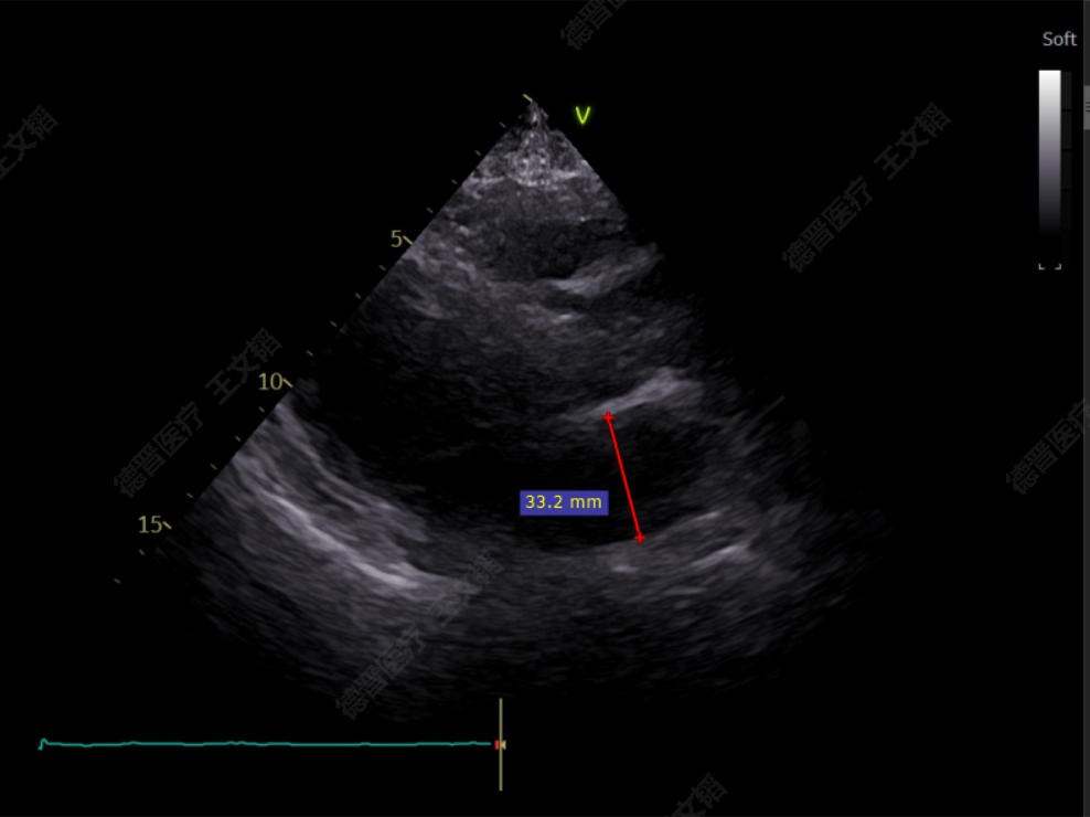
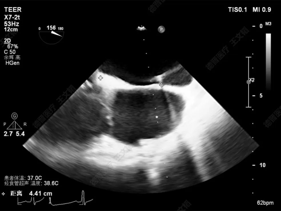
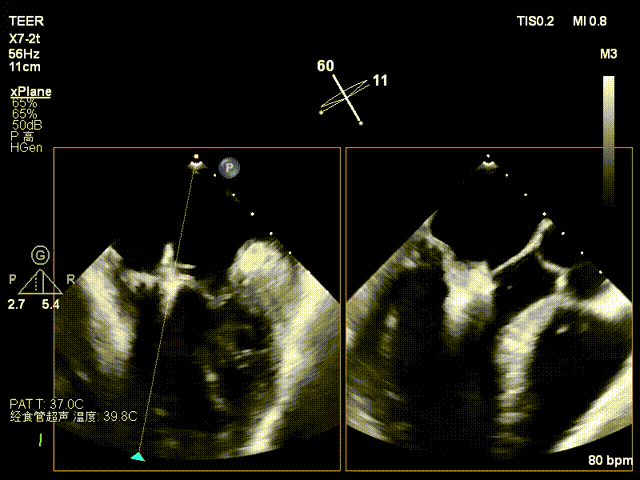
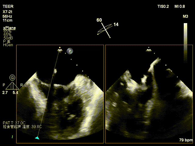
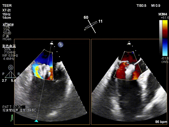
术前影像

左房极小

房间隔增厚

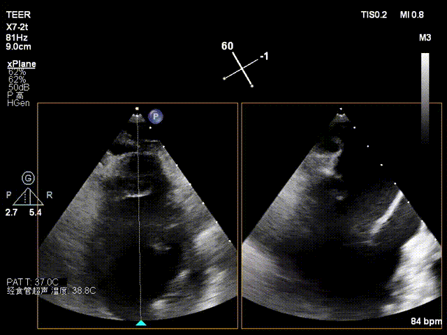
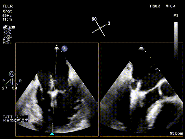
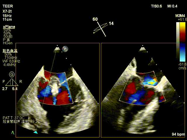
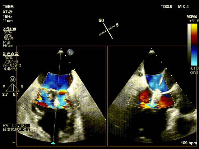
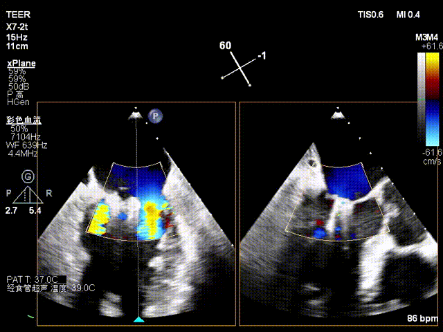
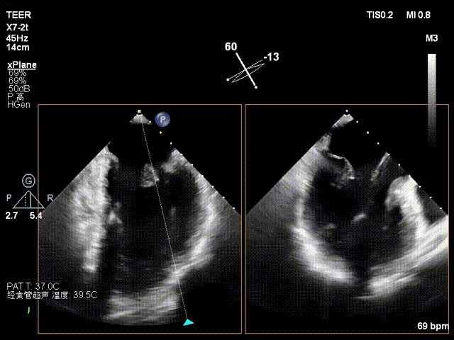
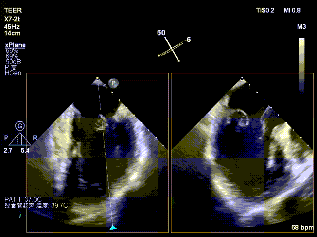
X-plane2区

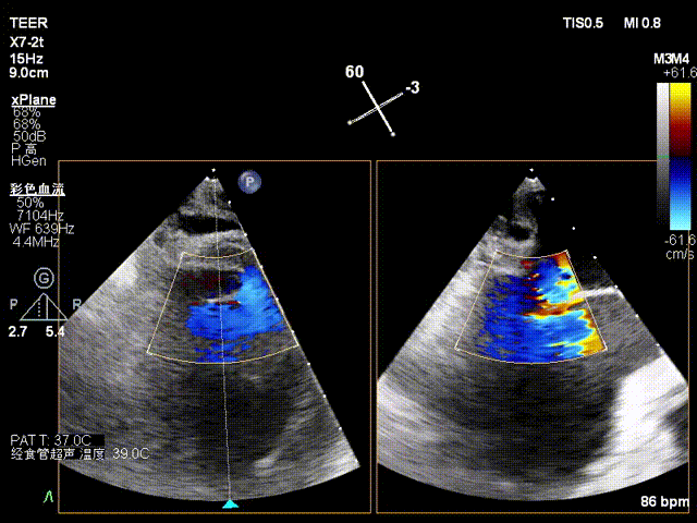
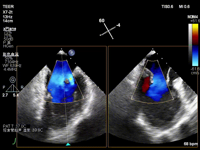
X-plane2区彩色

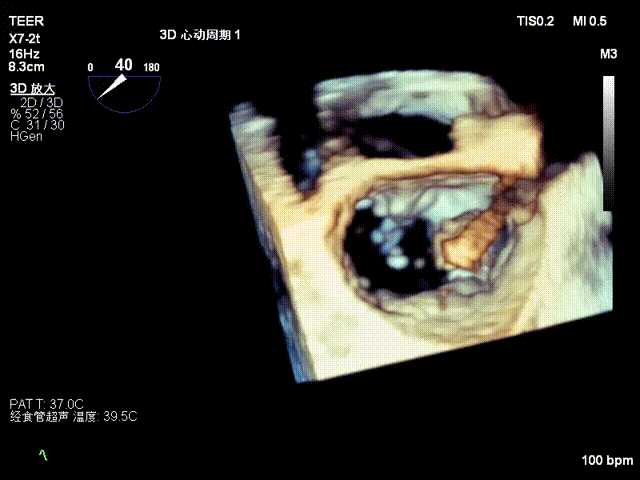
3D

3D彩色
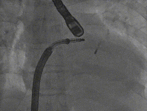
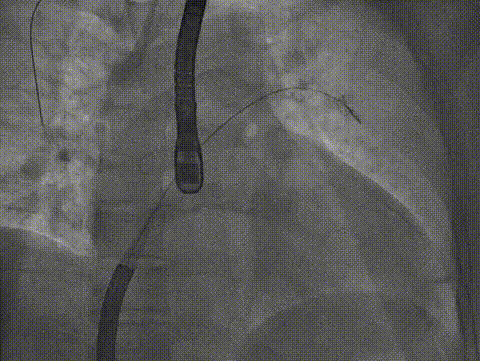
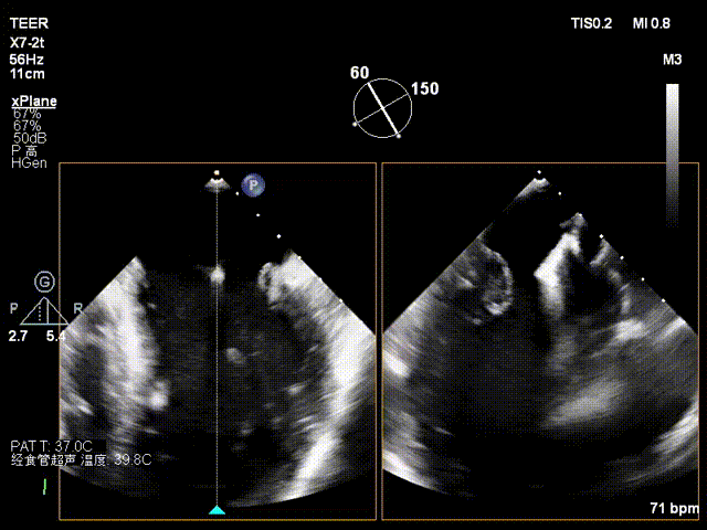
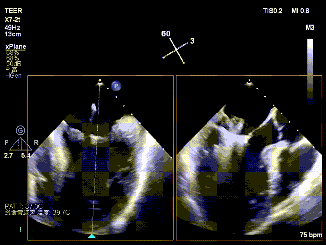
术中影像

房间隔穿刺

导引鞘置入左房

长宽夹打弯至瓣上

调整Orientation

瓣叶捕获

Bouncing明显

M侧有残余脱垂

向M侧移动先解决内侧脱垂

重新捕获无Bouncing

评估考虑瓣叶可能有一定损伤

将夹子移动至2偏1区

L侧无残余脱垂及反流

于2偏3区置入第二枚长宽夹

夹闭后1区残余微量功能性反流

3D评估组织桥稳定

解离后夹子稳定

TMPG:4mmHg

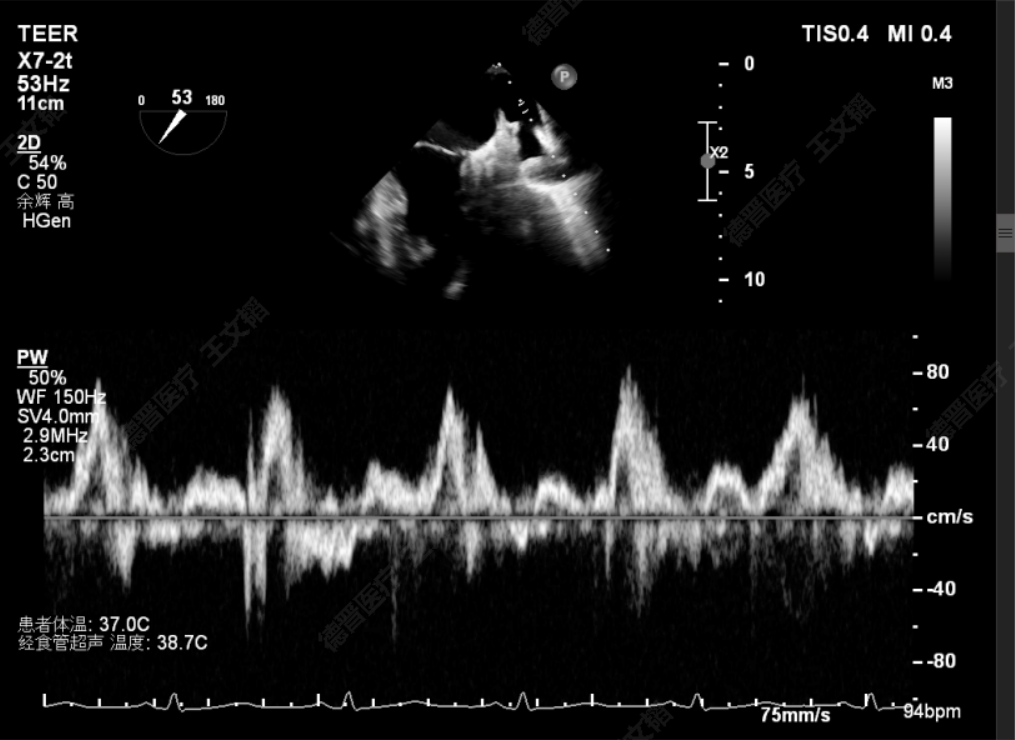
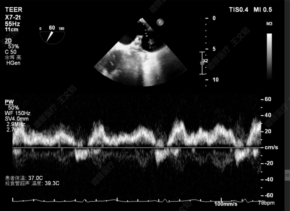
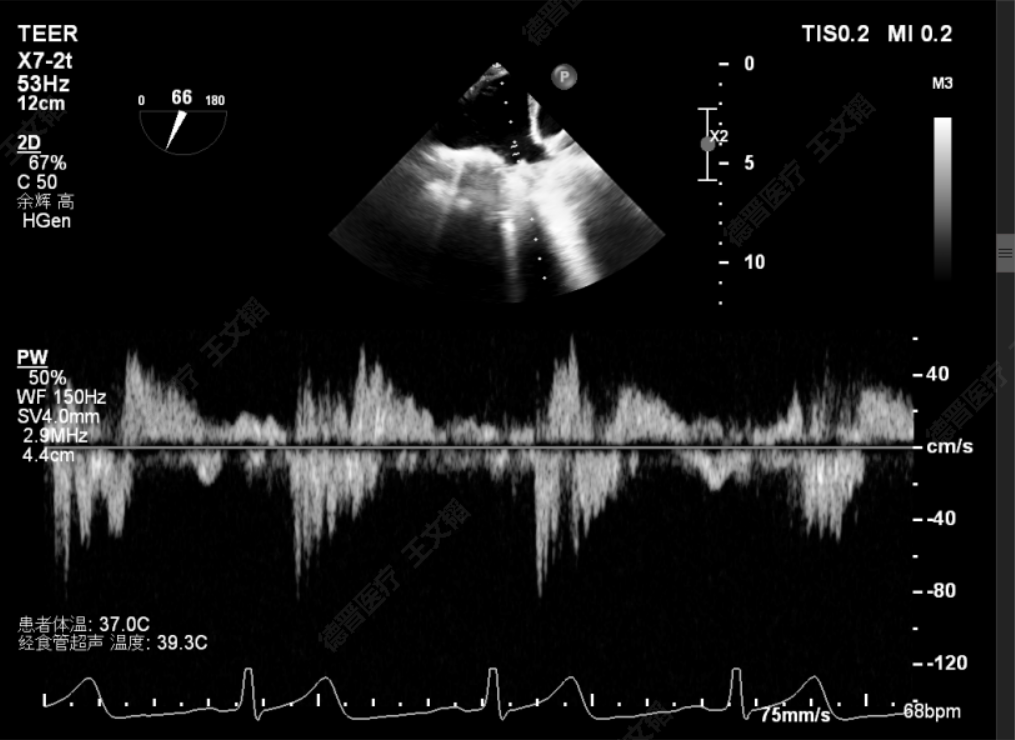
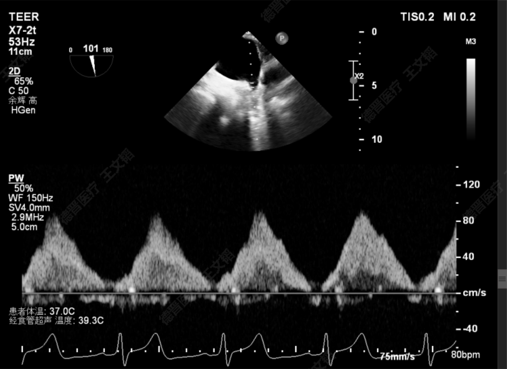
术前肺静脉逆流

术后肺静脉逆流
Case 2
病例简介
患者为56岁男性,因5天前反复出现活动后胸口隐痛感,持续数分钟到数小时不等,超声心动图提示:1.二尖瓣后瓣脱垂并重度关闭不全;2.左心大;3.三尖瓣反流;4.左心收缩功能正常。
经食道超声检查提示:二尖瓣瓣叶增厚冗长2区后瓣脱垂呈连枷样改变,考虑Barlow’s综合征。评估解剖结构:前叶长度:3.3cm,后叶长度:2.8cm,脱垂宽度:26mm,脱垂高度:19mm,瓣口面积:7.5cm²。
手术难点
1.P2脱垂腱索断裂连枷样改变,瓣叶整体脱向左房侧,脱垂高度近2.0cm,瓣叶捕获难度极大。
2. Barlow’s综合征,瓣叶增厚冗长且质量欠佳,夹子稳定性差,且需谨防SLDA风险。
3. 脱垂广泛需采用双夹甚至3夹策略。
对应策略
术前潘宏伟教授、何晋教授团队讨论决定,先于2偏1区置入一枚长宽(XW0612)夹解决最大的一处脱垂,再依次向内侧补夹子。术中房间隔穿刺高度:4.4cm,于2偏1区植入一枚长宽(XW0612)夹,夹闭后L侧无残余脱垂。再于M侧2区Side by side植入一枚长宽(XW0612)夹,夹闭后第一枚夹子较前稳定,M侧有残余脱垂。最后于M侧2偏3区植入一枚长窄(XN0412)夹,夹闭后残余功能性反流Trace,压差5mmHg,术毕,反流即刻由术前重度降低为Trace,左房压由术前45mmHg降至术后22mmHg,肺静脉逆流几乎消失,患者明显获益。
术前影像

3D

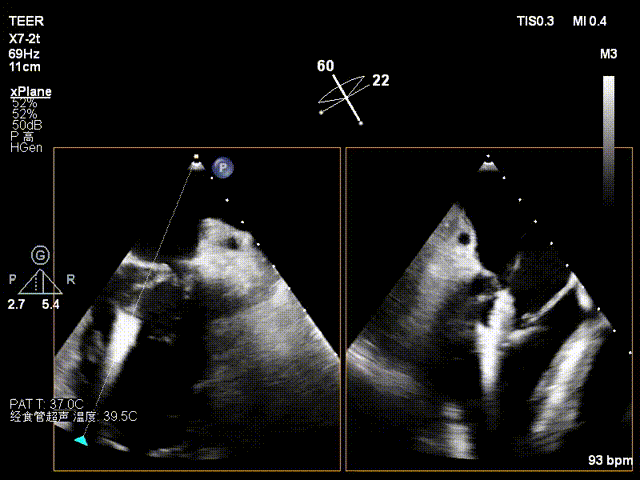
X-plane 1区

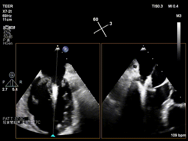
X-plane 2区

X-plane 2区彩色
术中影像

房间隔穿刺高度

导引鞘置入

于2偏1区置入一枚长宽夹

瓣叶捕获.

L侧无残余脱垂及反流

于M侧平行置入第二枚长宽夹

瓣叶捕获

Bouncing明显

组织桥稳定

M侧有残余脱垂及反流

于M侧植入一枚长窄夹

夹闭后残余微量功能性反流

3D评估组织桥

TMPG:5mmHg

术前静脉逆流

术后静脉逆流
来源:严道医声


湘ICP备2022018379号

